치아가 벌어진 경우의 교정치료
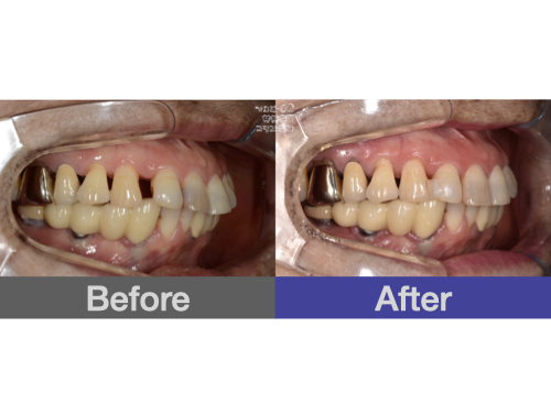
실버세대의 벌어진 앞니 교정치료
비대칭의 수술교정치료
비대칭의 치열교정치료
앞니 부분교정치료 (약한 힘)
앞니 부분교정치료
임플란트를 위한 교정치료
반대교합의 수술교정치료
반대교합의 프랑켈 교정장치 치료