TOP
조화와 균형있는 미소를 찾아드립니다. Copyright(c)가지런e치과교정과치과의원
made by chairone

가지런e치과

Blog
Instagram

TREATMENT CASE

진료사례

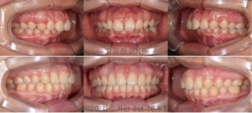
무턱의 양악수술 교정치료 150회

성장이 완료된 성인들의 무턱을 해결하기 위해서는 양악수술이 필요할 수 있습니다. 

성장을 기대하기 어려운 나이이므로 성장조절치료는 해당이 되지 않고

교정치료만으로는 골격적 편차에서 유발된 부정교합을 해결하기에는 역부족인 경우 및 

안모의 적극적 개선을 환자가 원하는 경우에는 양악수술을 진행하게 됩니다. 

양악수술은 구강악안면외과 전문의 치과의사가 시술하게 됩니다. 

양악수술을 성공적으로 시행하기위해서는 교정과 의사와 구강악안면외과 의사의 협진이 필수적입니다. 

따라서, 양악수술을 먼저 상담받으신 분들이 저희 가지런e치과로 의뢰되어 오시는 경우도 많습니다. 

양악수술을 받기 전에 교정치료를 진행하고 양악수술을 받으신 뒤 다시 교정치료로 마무리하는 경우가 일반적입니다. 

조건이 허용되는 경우 악교정수술을 먼저 진행하고 교정치료를 후차적으로 진행할 수도 있습니다. 



3b96fd0bb497f559eea3f5eb3e0e886c_1756348203_5516.jpg
3b96fd0bb497f559eea3f5eb3e0e886c_1756348203_7736.jpg