TOP
조화와 균형있는 미소를 찾아드립니다. Copyright(c)가지런e치과교정과치과의원
made by chairone

가지런e치과

Blog
Instagram

TREATMENT CASE

진료사례

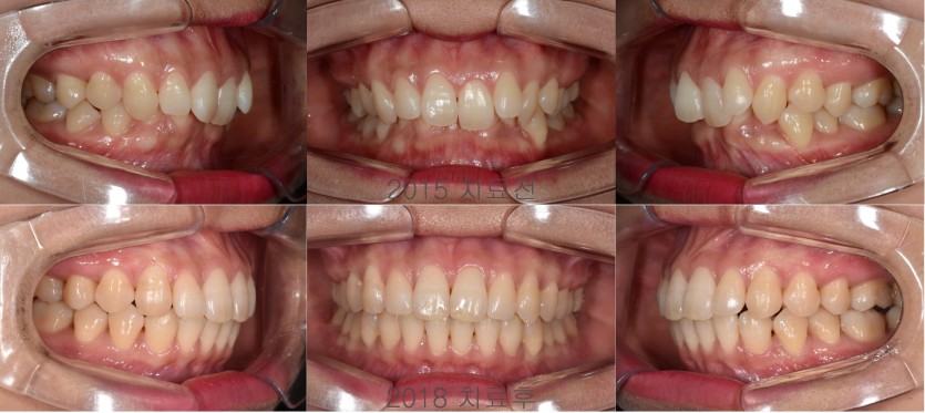
과개교합의 교정치료 155회

과개교합의 교정치료는 청소년인지 성인인지에 따라 치료전략이 달라집니다. 

성장이 종료된 성인의 경우에는 전치부 압하를 통해 개방교합을 개선합니다. 

상악 전치가 하악 전치를 덮는 양은 하악 전치의 ⅓ 정도를 덮는 것이 적절합니다. 

상하악 전치간에 덮는 양은 기능적인 교합을 위해 아주 중요한 요소입니다. 



3b96fd0bb497f559eea3f5eb3e0e886c_1756022801_5863.jpg