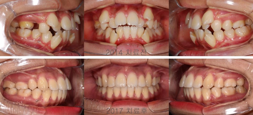
일반적인 덧니 상황에서는 소구치 발치교정치료만으로 상당한 배열공간을 확보할 수 있습니다. 그러나, 상하 대구치간 폭경이 조화롭지 않아 상악 치열을 확장하면서 소구치를 발치해야 하는 경우도 가끔 만납니다. 상악 치조골의 크기가 현저히 작기 때문입니다. 상악을 급속 확장장치로 확장하여 상악 대구치가 하악 대구치를 덮을 수 있도록 만들어주고 발치치아를 재진단하여 발치 교정치료를 진행합니다. 그 역순으로 발치를 먼저하고 후속적으로 대구치 확장을 하는 방법은 적절하지 않습니다. 치료의 순서를 정확히 지키면서 치료해야 합니다.


|