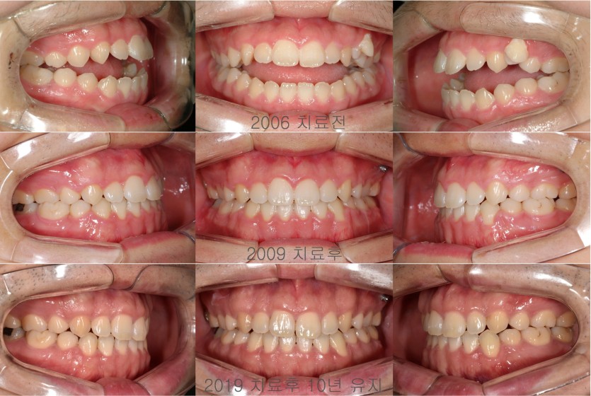
타 치과에서 이 정도의 개방교합은 수술을 받아야한다는 진단을 받고 내원했던 환자입니다. 상당한 양의 개방교합을 해결하기 위하여 소구치 발치 교정치료와 대구치 압하를 통해 해결하였습니다. 과거에는 개방교합을 전치부를 정출시켜 해결하거나, 양악수술을 통해 해결했었지만 요즘에는 미니임플란트 고정원을 이용해 대구치를 압하하는 방법을 사용해 수술하지 않고 성공적으로 개방교합을 개선할 수 있습니다.
그러나, 대구치를 무조건 압하하는 것이 아니라 여러가지 조건이 맞아야 진행할 수 있는 치료이므로 경험많은 전문의의 진단을 받으시길 추천드립니다 .


|