TOP
조화와 균형있는 미소를 찾아드립니다. Copyright(c)가지런e치과교정과치과의원
made by chairone

가지런e치과

Blog
Instagram

TREATMENT CASE

진료사례

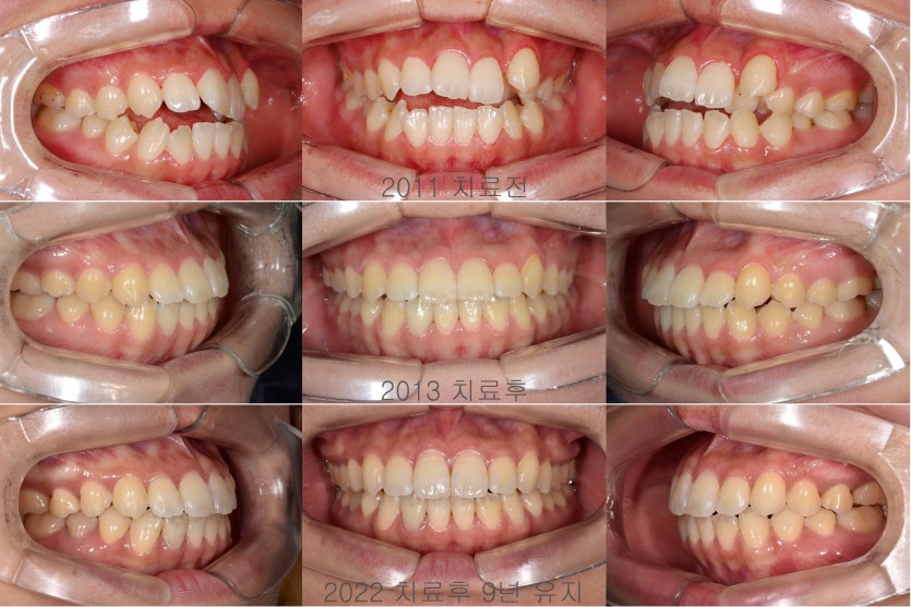
개방교합의 비발치 교정치료 154회

개방교합과 앞니 치아 겹침이 있었지만 소구치를 발치하지 않고 대구치 압하를 통해 개방교합을 해결하였습니다. 

환자가 상담시에 돌출입을 호소하지 않았고 소구치 발치를 원하지 않았기 때문에 대구치 압하만을 이용해 개방교합을 해결하였습니다. 

습관을 개선하기 위한 노력을 기울여 많이 개선되었으며 그 결과는 9년이 지날 때까지 양호하게 유지되었습니다. 



3b96fd0bb497f559eea3f5eb3e0e886c_1756022152_7941.jpg